Table of Contents
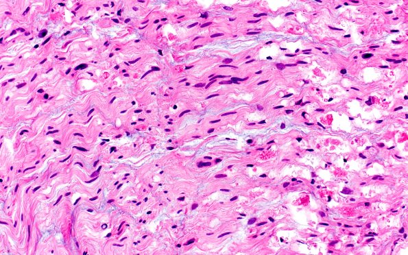
Washington University Experience | PERIPHERAL NEUROPATHY | 4 AXONAL DEGENERATION | 1 H&E & IHC | 4A2 Axonal Degeneration (Case 4) H&E 2
Fulminant loss of axons with debris contained within Schwann cells and some macrophages was identified. (H&E)
