Table of Contents



Washington University Experience | PERIPHERAL NEUROPATHY | 4 AXONAL DEGENERATION | 1 H&E & IHC | 5A2 Axonal degeneration, Monkey (ZOO) 3

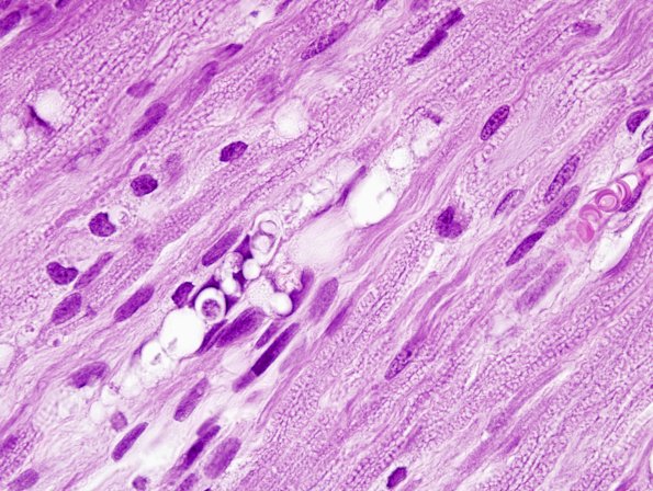
5A2 Axonal degeneration, Monkey (ZOO) 3
Scattered degenerating axons are surrounded by intact nerve fibers. (H&E)


Gallery RSS RSS Feed | Archive View | Login | Powered by Zenphoto