Table of Contents
Washington University Experience | PERIPHERAL NEUROPATHY | 4 AXONAL DEGENERATION | 1 H&E & IHC | 6A1 Axonal Degeneration (Case 6) H&E 1
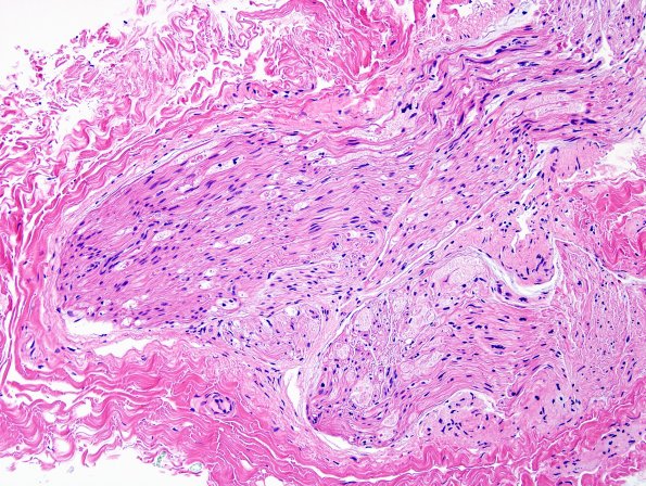
Case 6 History ---- The patient is a 40-year-old female who had a progressive course starting one year previously consisting of numbness and paresthesias in bilateral feet > hands, initially involving the right hand and left foot only, but over the next 1-2 weeks, progressed to involve both hands and feet symmetrically. She has shooting and stabbing pain but no associated weakness except for difficulty with fine motor tasks due to numbness in her hands and keeping her balance due to numbness in her feet. EMG in 11/2010 showed progressive severe sensory neuropathy/ganglionopathy. There was a clinical concern for CIDP. Operative procedure: Left sural nerve and left gastrocnemius muscle biopsy. ---- 6A1,2 The sural nerve specimen showed numerous degenerating axons. (H&E)
