Table of Contents
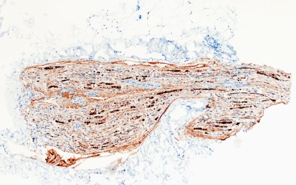
Washington University Experience | PERIPHERAL NEUROPATHY | 4 AXONAL DEGENERATION | 1 H&E & IHC | 7C1 Ovoids (Case 7) NF 10X
7C1-3 Sections show progressively increased magnification of ovoids stained for neurofilaments. (NF IHC)
