Table of Contents
« prev
next »
Washington University Experience
|
PERIPHERAL NEUROPATHY
|
4 AXONAL DEGENERATION
|
1 H&E & IHC
|
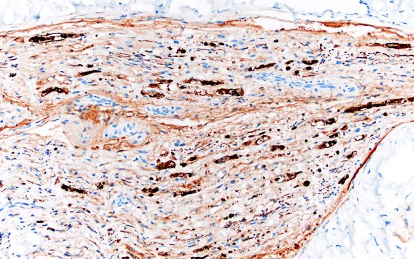
7C2 Ovoids (Case 7) NF 20X
Sections show progressively increased magnification of ovoids stained for neurofilaments. (NF IHC)
Image Info
Camera Maker:
Olympus
Camera Model:
DP74
Shutter Speed:
21/20000 sec
Metering Mode:
Multi-Spot
Gallery RSS
|
Archive View
|
Login
|
Powered by
Zenphoto