Table of Contents



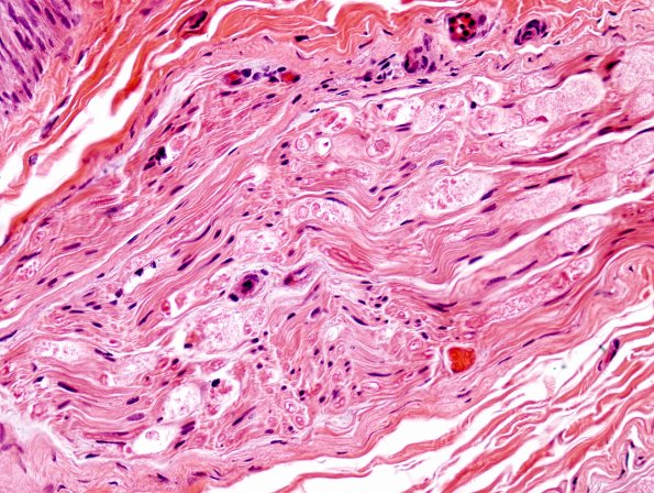
Washington University Experience | PERIPHERAL NEUROPATHY | 4 AXONAL DEGENERATION | 1 H&E & IHC | 8A1 Axonal Degeneration (Case 8) H&E 4

8A1 Axonal Degeneration (Case 8) H&E 4
Case 8 No History 8A1-3 Several images of actively degenerating axons are shown. (H&E)


Gallery RSS RSS Feed | Archive View | Login | Powered by Zenphoto