Table of Contents



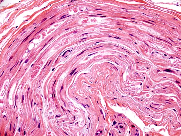
Washington University Experience | PERIPHERAL NEUROPATHY | 4 AXONAL DEGENERATION | 1 H&E & IHC | 8A3 Axonal Degeneration (Case 8) H&E 3

8A3 Axonal Degeneration (Case 8) H&E 3
Several images of actively degenerating axons are shown. (H&E)


Gallery RSS RSS Feed | Archive View | Login | Powered by Zenphoto