Table of Contents
« prev
next »
Washington University Experience
|
PERIPHERAL NEUROPATHY
|
4 AXONAL DEGENERATION
|
1 H&E & IHC
|
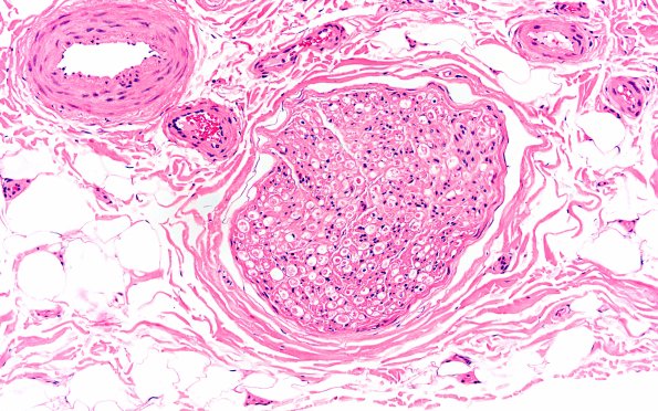
9A2 Axonal Degeneration, fulminant (Case 9) H&E 8
Extensive axonal degeneration is shown. (H&E)
Image Info
Camera Maker:
Olympus
Camera Model:
DP74
Shutter Speed:
14/27451 sec
Metering Mode:
Average
Gallery RSS
|
Archive View
|
Login
|
Powered by
Zenphoto