Table of Contents
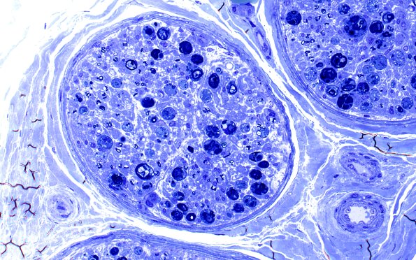
Washington University Experience | PERIPHERAL NEUROPATHY | 4 AXONAL DEGENERATION | 1 H&E & IHC | 9B Bucelli Lesions (Case 9) Plastic 40X
A plastic section shows essentially all axons are degenerating. (Toluidine blue stained one micron thick plastic embedded nerve sections)
