Table of Contents
« prev
next »
Washington University Experience
|
PERIPHERAL NEUROPATHY
|
4 AXONAL DEGENERATION
|
2 Plastic Sections
|
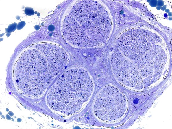
10A1 Axonal Degeneration, fulminant (Case 10) Plastic 10X
10A1-4 This is fulminant axonal degeneration.
Image Info
Camera Maker:
Olympus
Camera Model:
DP70
Shutter Speed:
18/9901 sec
Metering Mode:
Spot
Gallery RSS
|
Archive View
|
Login
|
Powered by
Zenphoto