Table of Contents
« prev
next »
Washington University Experience
|
PERIPHERAL NEUROPATHY
|
4 AXONAL DEGENERATION
|
2 Plastic Sections
|
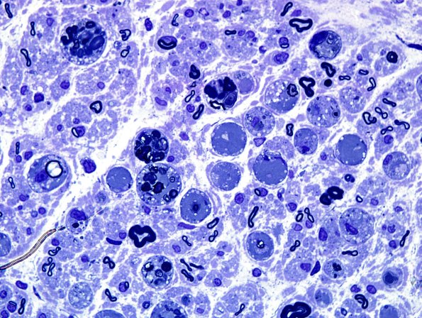
10A4-Axonal-Degeneration-fulminant-Case-10-Plastic-100X-5AA.jpg
This is fulminant axonal degeneration.
Image Info
Camera Maker:
Olympus Corporation
Camera Model:
DP70
Original Time Taken:
29-03-2017
Shutter Speed:
1/49 sec
ISO Sensitivity:
200
Metering Mode:
Spot
Gallery RSS
|
Archive View
|
Login
|
Powered by
Zenphoto