Table of Contents
Washington University Experience | PERIPHERAL NEUROPATHY | 4 AXONAL DEGENERATION | 2 Plastic Sections | 11A1 Mouse Constriction Injury, distal sciatic (Case 11) Plastic 20X.jpg
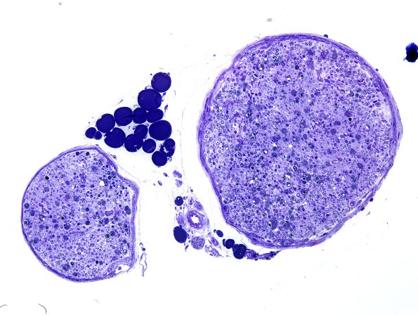
11A1-5 This mouse nerve, in which constriction injury was induced experimentally, shows prominent axonal degeneration.
