Table of Contents
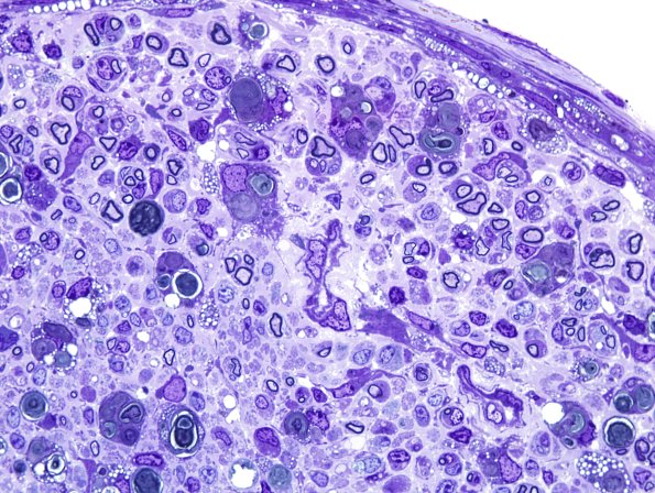
Washington University Experience | PERIPHERAL NEUROPATHY | 4 AXONAL DEGENERATION | 2 Plastic Sections | 11A5 Mouse sciatic (Case 11) Plastic 100X 4.jpg
This mouse nerve, in which constriction injury was induced experimentally, shows prominent axonal degeneration.
