Table of Contents
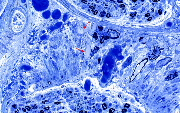
Washington University Experience | PERIPHERAL NEUROPATHY | 4 AXONAL DEGENERATION | 2 Plastic Sections | 12A3 Axonal Swellings, fascicle (Case 12) Plastic 1 copy
A human nerve in which one fascicle shows local damage to the perineurium causing focal axonal swellings (arrow, 12A3).
