Table of Contents
Washington University Experience | PERIPHERAL NEUROPATHY | 4 AXONAL DEGENERATION | 2 Plastic Sections | 13A1 Axonal Degeneration, fulminant (Case 13) Plastic 6
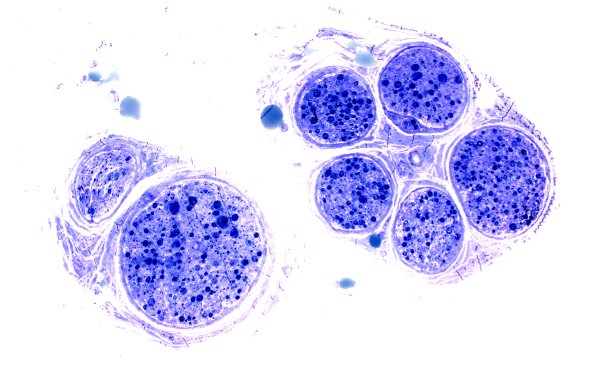
This sural nerve shows multiple fascicles with marked axonal degeneration.
