Table of Contents
Washington University Experience | PERIPHERAL NEUROPATHY | 4 AXONAL DEGENERATION | 2 Plastic Sections | 13A2 Axonal Degeneration, fulminant (Case 13) Plastic 7
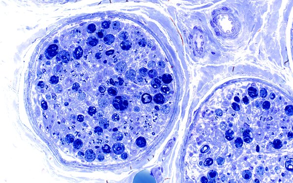
13A2-4 Higher magnification of several nerve fascicles with uniform involvement by degenerating axons.
