Table of Contents
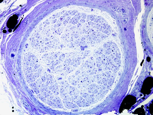
Washington University Experience | PERIPHERAL NEUROPATHY | 4 AXONAL DEGENERATION | 2 Plastic Sections | 14A1 Axonal degeneration (end-stage nerve, Case 14) Plastic 4
Essentially there are no remaining axons in this end stage nerve of a 71-year-old male with muscle weakness and numbness in all four distal extremities thought to have mononeuritis multiplex (by EMG/NCS) associated with rheumatoid arthritis. ---- 14A1,2 There are only a few small myelinated axons remaining in this fascicle.
