Table of Contents
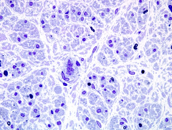
Washington University Experience | PERIPHERAL NEUROPATHY | 4 AXONAL DEGENERATION | 2 Plastic Sections | 14A2 Axonal degeneration (end-stage nerve, Case 14) Plastic 1
There are only a few small myelinated axons remaining in this fascicle.
