Table of Contents
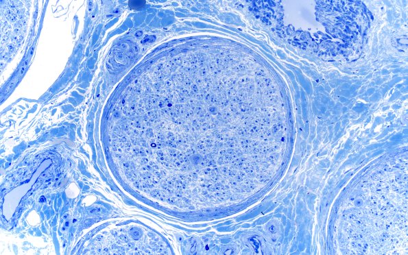
Washington University Experience | PERIPHERAL NEUROPATHY | 4 AXONAL DEGENERATION | 2 Plastic Sections | 15A1 End Stage Nerve (Case 15) Plastic 20X 1
The patient is a 43 year old man with diabetic foot wounds status post bilateral trans-metatarsal amputations, now with poor wound healing. Operative procedure: R below knee amputation ---- 15A1,2 There is marked loss of axons in this tibial nerve of a long term diabetic patient who also shows thickened endoneurial and epineurial vessels.
