Table of Contents
Washington University Experience | PERIPHERAL NEUROPATHY | 4 AXONAL DEGENERATION | 2 Plastic Sections | 15A2 End Stage Nerve (Case 15) Plastic 20X 3
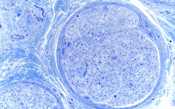
There is marked loss of axons in this tibial nerve of a long term diabetic patient who also shows thickened endoneurial and epineurial vessels.
