Table of Contents
« prev
next »
Washington University Experience
|
PERIPHERAL NEUROPATHY
|
4 AXONAL DEGENERATION
|
2 Plastic Sections
|
16A1-Axon-loss-Case-16-Plastic-1.jpg
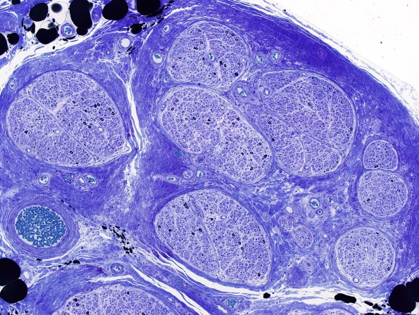
16A1,2 There are only rare axons in each fascicle in this nerve.
Image Info
Camera Maker:
Olympus Corporation
Camera Model:
DP71
Original Time Taken:
25-07-2008
Shutter Speed:
1/1000 sec
ISO Sensitivity:
200
Metering Mode:
Spot
Gallery RSS
|
Archive View
|
Login
|
Powered by
Zenphoto