Table of Contents
Washington University Experience | PERIPHERAL NEUROPATHY | 4 AXONAL DEGENERATION | 2 Plastic Sections | 16A2-Axon-loss-Case-16-Plastic-7.jpg
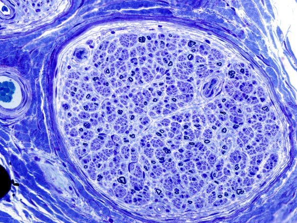
Only a few small myelinated axons remain in the wake of loss of large myelinated axons.
