Table of Contents
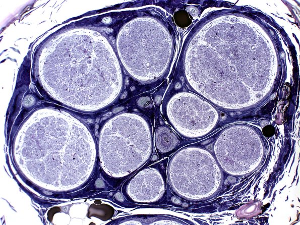
Washington University Experience | PERIPHERAL NEUROPATHY | 4 AXONAL DEGENERATION | 2 Plastic Sections | 18A End stage nerve (Case 18) Plastic 1
The patient is a 44 year old male with progressive bilateral lower leg pain as well as paresthesias involving the hands. Clinical diagnosis: Hepatitis-related systemic vasculitis and mononeuritis multiplex. ---- 18A Essentially no large or small myelinated axons remain.
