Table of Contents
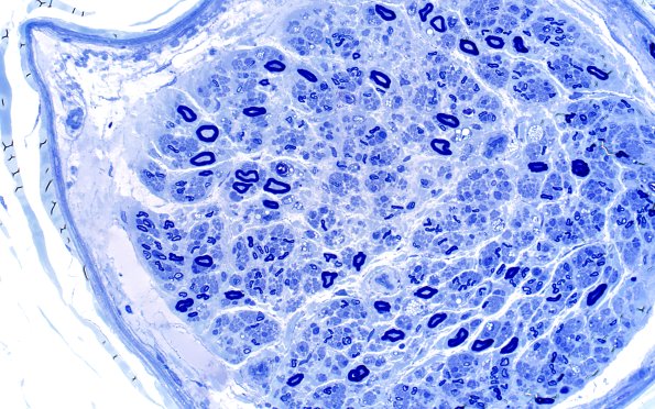
Washington University Experience | PERIPHERAL NEUROPATHY | 4 AXONAL DEGENERATION | 2 Plastic Sections | 19A1 Lipid xs nerve (Case 19) 40X 2
The patient is a 38-year-old female with acute-subacute onset sensory neuropathy with no weakness. She also describes delayed gastric emptying (gastroparesis) and constipation/diarrhea. Autonomic testing showed length dependent reduced sweat volumes suggestive of sympathetic dysfunction. Antibody testing is negative. Operative procedure: Nerve biopsy. ---- 19A1-3 The large amount of lipid in residual and reactive Schwann cells is somewhat unusual. It could represent the simultaneous loss of an axon population or the failure to complete the cycle of handing off debris to a population of macrophages but that is speculative.
