Table of Contents
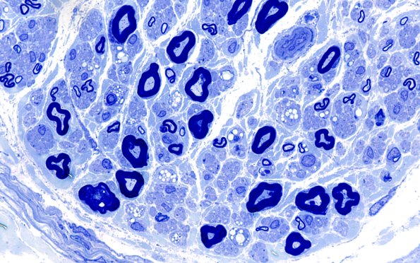
Washington University Experience | PERIPHERAL NEUROPATHY | 4 AXONAL DEGENERATION | 2 Plastic Sections | 19A3 Lipid xs nerve (Case 19) 100X 4
The large amount of lipid in residual and reactive Schwann cells is somewhat unusual. It could represent the simultaneous loss of an axon population or the failure to complete the cycle of handing off debris to a population of macrophages but that is speculative.
