Table of Contents
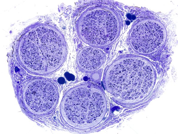
Washington University Experience | PERIPHERAL NEUROPATHY | 4 AXONAL DEGENERATION | 2 Plastic Sections | 1A1 Axonal Degeneration (Case 1) Plastic 10X
This sural nerve biopsy shows 7 fascicles, each with a similar appearance. Each fascicle shows subperineurial edema.
