Table of Contents
Washington University Experience | PERIPHERAL NEUROPATHY | 4 AXONAL DEGENERATION | 2 Plastic Sections | 1A4 Axonal Degeneration (Case 1) Plastic 100X 3 copy.jpg
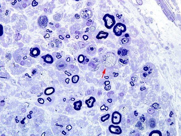
1A4,5 Lipid droplets are plentiful in these images. Material being metabolized in Schwann cells often has a circular appearance (arrow, 1A4) which is constrained by the Schwann cell basal membrane and cytoplasm. In plastic sections nerve macrophages often have a spindled appearance with numerous processes as they engulf debris. Use of lineage-specific labels helps separate these elements.
