Table of Contents
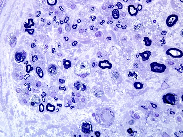
Washington University Experience | PERIPHERAL NEUROPATHY | 4 AXONAL DEGENERATION | 2 Plastic Sections | 1A5 Axonal Degeneration (Case 1) Plastic 100X 5.jpg
Lipid droplets are plentiful in these images. In plastic sections nerve macrophages often have a spindled appearance with numerous processes as they engulf debris. Use of lineage-specific labels helps separate these elements.
