Table of Contents
Washington University Experience | PERIPHERAL NEUROPATHY | 4 AXONAL DEGENERATION | 2 Plastic Sections | 20A1 Fiber loss, small exaggerated (Case 20) Plastic 5 copy
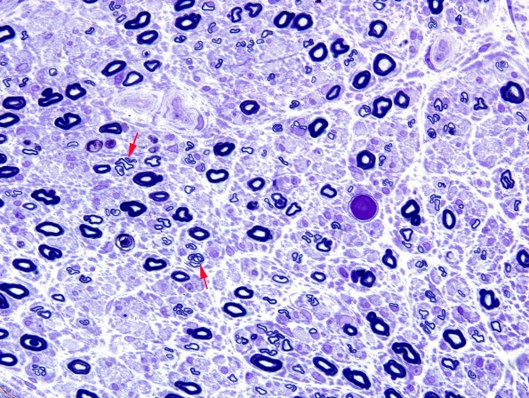
The patient is a 68 year old male with a prior history of prostate cancer, CLL and right orbital diffuse large B-cell lymphoma who developed myopathy. Operative procedure: Biopsies of right sural nerve and right gastrocnemius muscle. ---- 20A1-3 There is moderate loss of large myelinated axons with a significantly decreased population of small myelinated axons which are present mostly as regenerative clusters (arrows, 20A1) (i.e., they have developed from degenerated large myelinated axons).
