Table of Contents
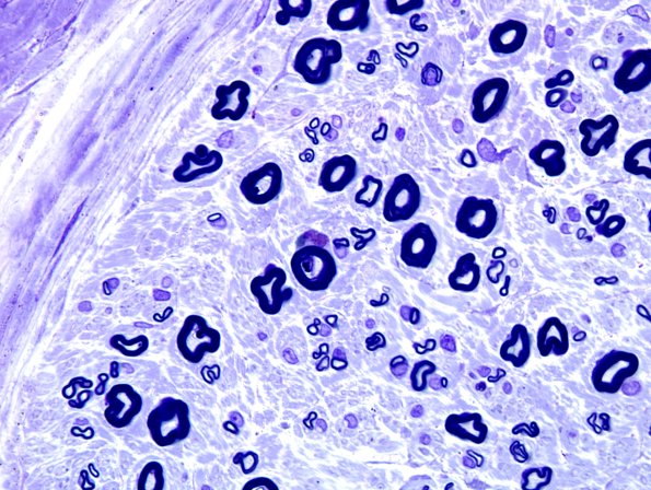
Washington University Experience | PERIPHERAL NEUROPATHY | 4 AXONAL DEGENERATION | 2 Plastic Sections | 20A3 Fiber loss, small exaggerated (Case 20) Plastic 9 (best)
There is moderate loss of large myelinated axons with a significantly decreased population of small myelinated axons which are present mostly as regenerative clusters
