Table of Contents
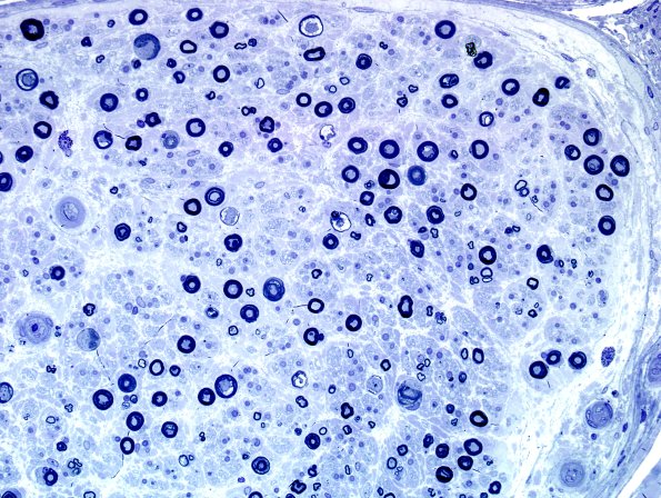
Washington University Experience | PERIPHERAL NEUROPATHY | 4 AXONAL DEGENERATION | 2 Plastic Sections | 21A1 Small MF loss (Case 21) Plastic 1.jpg
The patient is a 61-year-old male with a history of lower extremity paresthetic numbness and tingling with lumbar spondylolysis and lumbosacral spondylolisthesis dating back two years. Operative procedure: Left quadriceps muscle and left sural nerve biopsy. ---- 21A1-3 Small myelinated axons are more substantively lost; in addition, the number of small fibers may be artificially enhanced as part of regeneration of large degenerated axons which, if subtracted, would further enhance the loss of small myelinated axons. Regenerative clusters are identified. Multiple axons are thin for axon caliber, evidence for axonal regeneration.
