Table of Contents
Washington University Experience | PERIPHERAL NEUROPATHY | 4 AXONAL DEGENERATION | 2 Plastic Sections | 21A3 Small MF loss (Case 21) Plastic 3.jpg
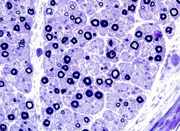
Small myelinated axons are more substantively lost; in addition, the number of small fibers may be artificially enhanced as part of regeneration of large degenerated axons which, if subtracted, would further enhance the loss of small myelinated axons. Regenerative clusters are identified. Multiple axons are thin for axon caliber, evidence for axonal regeneration.
