Table of Contents
Washington University Experience | PERIPHERAL NEUROPATHY | 4 AXONAL DEGENERATION | 2 Plastic Sections | 22A1 End Stage Nerve (Case 22) Plastic 3
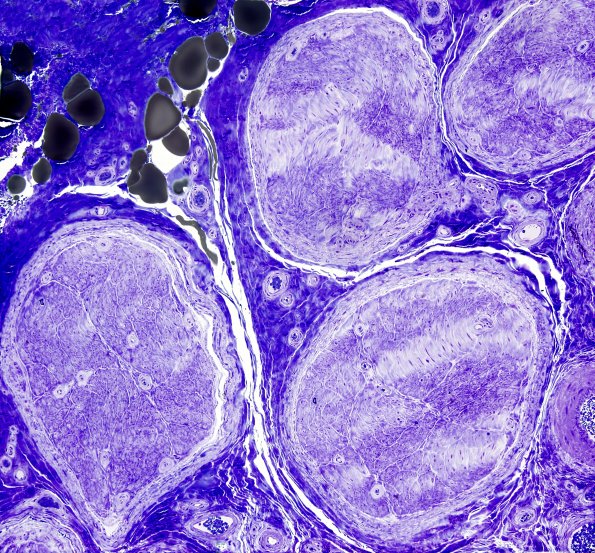
The patient is a 71 year-old male with a history of normal pressure hydrocephalus and spinal stenosis. He presented with muscle weakness, and his EMG/NCS study showed axonal polysensory motor neuropathy. Operative procedure: right gastrocnemius muscle and sural nerve biopsy. ---- 22A1,2 Severe loss of both large and small myelinated axons. Individual nerve fascicles appear equally affected with minimal intra-fascicular and inter-fascicular variability. There are rare residual large axons which show myelin sheaths that are thin relative to axonal caliber and several regenerative clusters. Although both populations of myelinated axons are affected, the residual axons are almost all large myelinated forms.
