Table of Contents
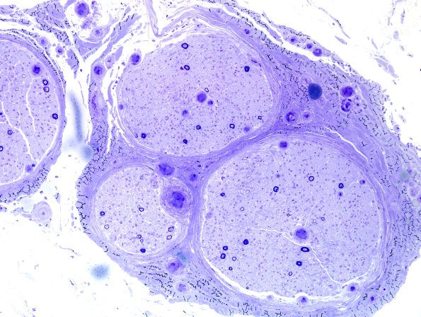
Washington University Experience | PERIPHERAL NEUROPATHY | 4 AXONAL DEGENERATION | 2 Plastic Sections | 23A1 End-stage nerve (Case 23) Plastic 6.jpg
The patient is a 54-year-old male with a history of monoclonal paraproteinemia with amyloidosis. Operative procedure: Left sural nerve biopsy. ---- 23A1,2 One micron plastic sections demonstrate marked loss of large and small myelinated axons. The remaining axons are predominantly large myelinated forms. They are accompanied by axons which have myelin sheaths which are too thin for axon caliber, evidence of axonal degeneration and regeneration, although regenerated clusters are very rare.
