Table of Contents
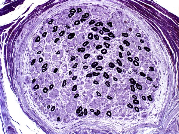
Washington University Experience | PERIPHERAL NEUROPATHY | 4 AXONAL DEGENERATION | 2 Plastic Sections | 24A1 Axon loss, mostly small MF (Case 24) Plastic 1
24A1,2 The sural nerve of this patient with amyloidosis shows preferential loss of small myelinated axons.
