Table of Contents
Washington University Experience | PERIPHERAL NEUROPATHY | 4 AXONAL DEGENERATION | 2 Plastic Sections | 24A2 Small MF (Case 24) Amyloid Plastic 1 copy
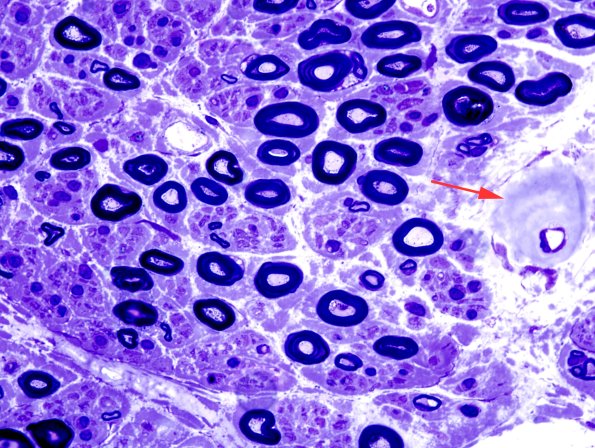
Amyloid often forms an asymmetric thickening on the endoneurial vasculature (arrow).
