Table of Contents
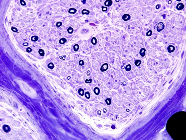
Washington University Experience | PERIPHERAL NEUROPATHY | 4 AXONAL DEGENERATION | 2 Plastic Sections | 25A2 Axon loss, SMF pref loss (Case 25) Plastic 4
Although there is loss of both large and small myelinated axons the residual axons are mostly large myelinated fiber type.
