Table of Contents
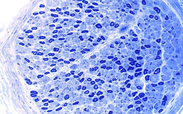
Washington University Experience | PERIPHERAL NEUROPATHY | 4 AXONAL DEGENERATION | 2 Plastic Sections | 26A2 Axonal Loss (small more than large) (Case 26) Plastic 2
There is significant axon loss (small > large). A few large axons show thin myelination for axon caliber, suggestive of a cycle of axonal degeneration and regeneration. There are scattered regenerative clusters, which artificially inflate the apparent number of small myelinated axons.
