Table of Contents
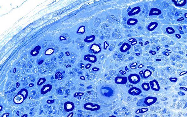
Washington University Experience | PERIPHERAL NEUROPATHY | 4 AXONAL DEGENERATION | 2 Plastic Sections | 27A2 Unmyelinated axons (Case 27) Plastic 100X 2
There are numerous unmyelinated axons in this biopsy which are present as singletons (a single unmyelinated axon per Schwann cell unit) not as part of Remak bundles. Singletons are a common finding in neuropathies generally in our experience.
