Table of Contents
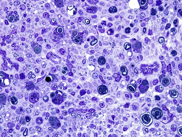
Washington University Experience | PERIPHERAL NEUROPATHY | 4 AXONAL DEGENERATION | 2 Plastic Sections | 28A1 Mouse Constriction Injury, distal sciatic (R13-233) Plastic 100X 1.jpg
28A1-5 Mouse constriction injury ~10 days following sciatic nerve constriction.---- Various magnifications showing numerous Schwann cells and macrophages admixed with myelin debris.
