Table of Contents
Washington University Experience | PERIPHERAL NEUROPATHY | 4 AXONAL DEGENERATION | 2 Plastic Sections | 28A2 Mouse Constriction Injury, distal sciatic (R13-233) Plastic 20X.jpg
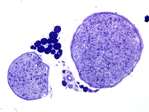
Mouse constriction injury ~10 days following sciatic nerve constriction.
Various magnifications showing numerous Schwann cells and macrophages admixed with myelin debris.
