Table of Contents
« prev
Washington University Experience
|
PERIPHERAL NEUROPATHY
|
4 AXONAL DEGENERATION
|
2 Plastic Sections
|
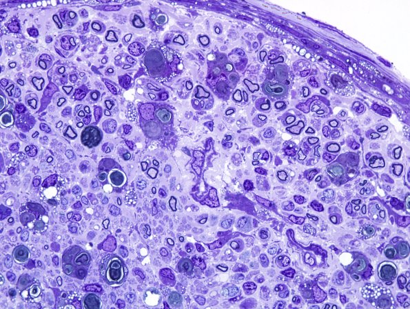
28A5 Mouse Constriction Injury, distal sciatic (R13-233) Plastic 100X 4.jpg
Higher magnification of image #28A3.
Image Info
Camera Maker:
Olympus Corporation
Camera Model:
DP70
Original Time Taken:
17-12-2013
Shutter Speed:
10/271 sec
ISO Sensitivity:
200
Metering Mode:
Spot
Gallery RSS
|
Archive View
|
Login
|
Powered by
Zenphoto