Table of Contents
Washington University Experience | PERIPHERAL NEUROPATHY | 4 AXONAL DEGENERATION | 2 Plastic Sections | 2A1 Axonal Degeneration (Case 2) Plastic 1
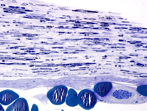
2A1-4 This is a sural nerve cut in longitudinal orientation. In this way it mimics a teased fiber preparation with myelin ovoids.
Fragments of myelin and axonal debris occur at intervals along the course of individual axons.
