Table of Contents



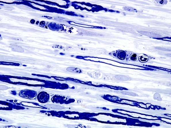
Washington University Experience | PERIPHERAL NEUROPATHY | 4 AXONAL DEGENERATION | 2 Plastic Sections | 2A3 Axonal Degeneration (Case 2) Plastic 6

2A3 Axonal Degeneration (Case 2) Plastic 6
2A3,4 Higher magnification of images #2A1,2.


Gallery RSS RSS Feed | Archive View | Login | Powered by Zenphoto