Table of Contents
Washington University Experience | PERIPHERAL NEUROPATHY | 4 AXONAL DEGENERATION | 2 Plastic Sections | 3A1 Axonal Degeneration (Case 3) Plastic 2 copy
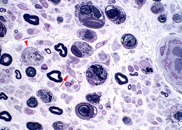
The axons in this image show various patterns of myelin and axon debris. Note the round collections of ongoing digestion within Schwann cells (one is demonstrated with an arrowhead) and the spindled form with processes of an endoneurial macrophage (arrow).
