Table of Contents
Washington University Experience | PERIPHERAL NEUROPATHY | 4 AXONAL DEGENERATION | 2 Plastic Sections | 3A2 Axonal Degeneration (Case 3) sharpen Plastic 1
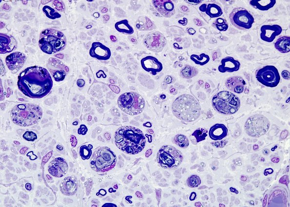
Notice the various stages of myelin and axonal debris in multiple Schwann cells ranging from large fragments of myelin to tiny digested organelles.
