Table of Contents
Washington University Experience | PERIPHERAL NEUROPATHY | 4 AXONAL DEGENERATION | 2 Plastic Sections | 4A2 Axonal Degeneration (Case 4) Plastic 4
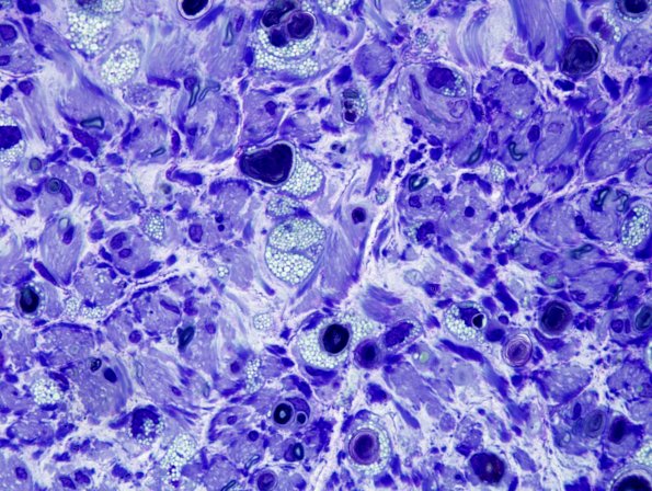
In this case there are numerous Schwann cells with lipid droplets and possibly some macrophages contributing as well.
