Table of Contents
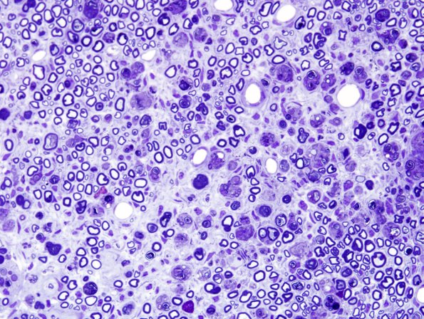
Washington University Experience | PERIPHERAL NEUROPATHY | 4 AXONAL DEGENERATION | 2 Plastic Sections | 5A3 Axonal Degeneration (Case 5) Plastic 5
Multiple images of a rat sciatic nerve with experimental crush injury 1-2 weeks previously.
