Table of Contents
« prev
next »
Washington University Experience
|
PERIPHERAL NEUROPATHY
|
4 AXONAL DEGENERATION
|
2 Plastic Sections
|
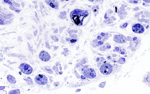
7A2 Axonal Degeneration (Case 7) Plastic 2
Fulminant axonal degeneration in one fascicle of a sural nerve.
Image Info
Camera Maker:
Olympus
Camera Model:
DP74
Shutter Speed:
39/2191 sec
Metering Mode:
Average
Gallery RSS
|
Archive View
|
Login
|
Powered by
Zenphoto