Table of Contents
« prev
next »
Washington University Experience
|
PERIPHERAL NEUROPATHY
|
4 AXONAL DEGENERATION
|
2 Plastic Sections
|
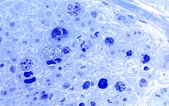
8A1 Axonal degeneration (Case 8) Plastic 100X 1
8A1,2 Notice the range of debris and neutral lipid droplets.
Image Info
Camera Maker:
Olympus
Camera Model:
DP74
Shutter Speed:
41/2000 sec
Metering Mode:
Multi-Spot
Gallery RSS
|
Archive View
|
Login
|
Powered by
Zenphoto